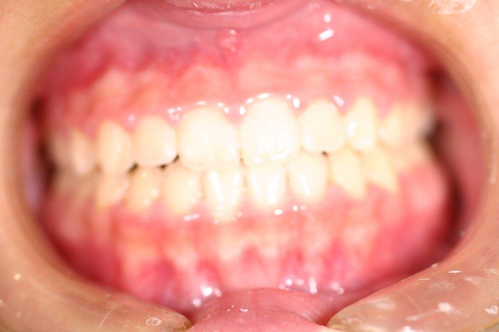
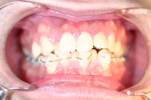
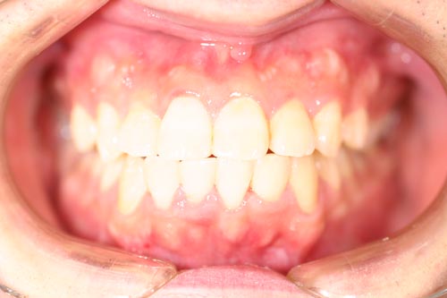
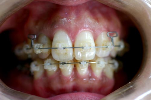
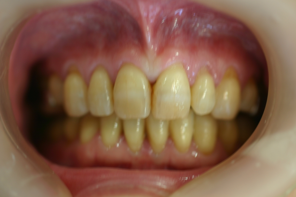
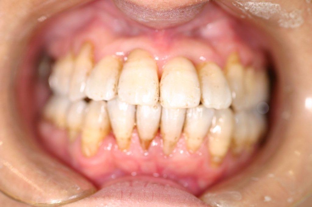
上顎の中央の歯一本が前にとびだしている治療例

Before

 
 

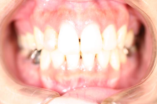
After

上顎の中央の歯一本が前にとびだしている症例です。これだけ前に出ていると、歯を抜いて並べていくか、何本かの歯を削らないときれいに並べられません。

このケースは、上の顎に矯正用のミニスクリュー{矯正用ミニインプラント}を入れて、歯を抜かず、削りもしないで、しかも上顎だけの矯正で治した症例です。

矯正用インプラントを使うことによって歯並び全体を後方に動かすことができるようになったため、このような治療ができるようになりました。

年齢 20代
治療期間 8ヶ月
治療費用 800,000円
治療のリスク 特になし

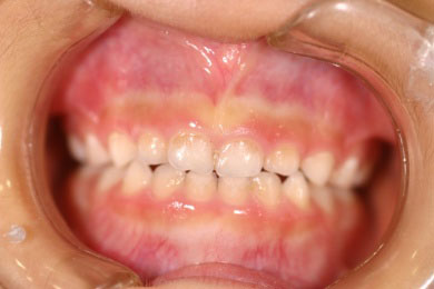
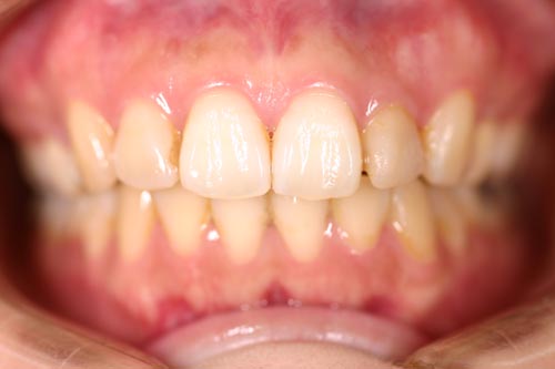
開口症例を綺麗に治した症例

Before

After

年齢 20代
治療期間 2年
治療費用 1,000,000円
治療のリスク 特になし

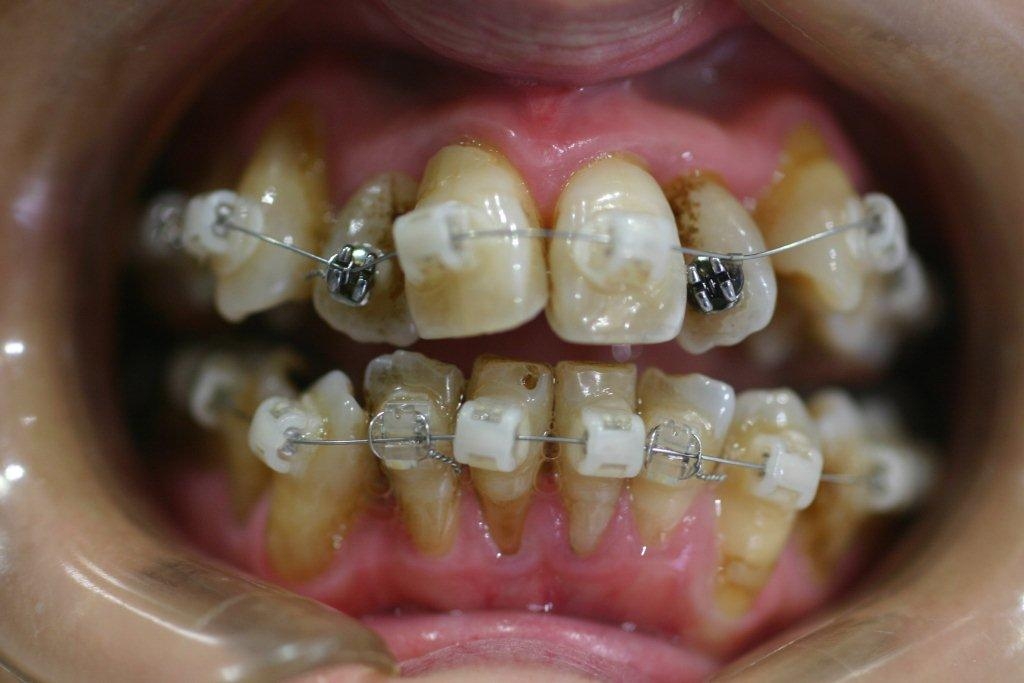
50代で歯周病のもある患者様の矯正症例

Before

After

特に奥歯が抜いてあるため、奥歯の本数がこれ以上少なく出来ない方です。これだけの強い不正咬合を非抜歯で治した症例です。年齢的にも難しい症例でしたが、かなりきれいに治り、 患者様自信が大変満足された症例です。

年齢 50代
治療期間 1年6ヶ月
治療費用 1,000,000円
治療のリスク 歯周病が進行するリスクがある

乳歯の反対咬合(下顎前突)を矯正して正常な上下関係に矯正した症例

Before

After

日本橋りゅうデンタルクリニックの子供の矯正歯科治療例です。子供の場合、なるべく早い時期に不正咬合を見つけて矯正歯科治療を開始してあげるべきです。このことによって、顎顔面の成長発育が正常に行われていきます。

年齢 5歳
治療期間 8ヶ月
治療費用 600,000円
治療のリスク 患者様が装置を使用しないと治りません

前歯の叢生で歯並びが悪くなっていた患者様の矯正症例

Before

After

年齢 30代
治療期間 1年6ヶ月
治療費用 900,000円
治療のリスク 特になし

叢生の抜歯矯正の症例

Before

After

叢生ケースで4番の歯を4本抜歯し、唇側ブラケット矯正にて治療をした

年齢 30代
治療期間 2年6ヶ月
治療費用 1,000,000円
治療のリスク 特になし

上顎が舌側矯正、下顎が唇側矯正の治療症例

Before

 
 

After

年齢 20代
治療期間 2年
治療費用 1,100,000円
治療のリスク 特になし

舌側矯正の治療症例

Before

After

上顎前突(出っ歯)を見えない舌側ブラケットによる矯正法で4番の歯を4本抜歯して治した症例

年齢 20代
治療期間 2年6ヶ月
治療費用 1,300,000円
治療のリスク 特になし

ご予約お問い合わせはお気軽に

当院では、あらゆる歯の痛みや悩みに対応しております。
まずは相談だけでも構いません。ぜひ一度お問い合わせください。

TEL:0120-418-601
tel_btn.jpg
日本橋インプラントオフィス 歯列矯正.ねっと
tel_btn_sp.jpg